Plädoyer für aktives Investieren
Der ETF als Abbild eines Marktes wird seit Jahren als kostengünstiges Non-plus-ultra des Anlegens propagiert. Der Vermögensverwalter M.M. Warburg meint: Das geht besser. Und setzt auf Einzeltitel.
Der ETF als Abbild eines Marktes wird seit Jahren als kostengünstiges Non-plus-ultra des Anlegens propagiert. Der Vermögensverwalter M.M. Warburg meint: Das geht besser. Und setzt auf Einzeltitel.
Der Steueranwalt Hanno Berger soll mehrere Cum-Ex-Geschäfte der Hamburger Privatbank Warburg arrangiert haben. Beim Landgericht Bonn wurde mittlerweile die dritte Anklage gegen ihn wegen Steuerhinterziehung vorgelegt.
Die Deutsche Bank muss nicht für Steuerschulden aus Cum-Ex-Geschäften der Hamburger Privatbank mithaften. Das hat das Landgericht Frankfurt entschieden. Doch Warburg will nicht auf 167 Millionen Euro sitzen bleiben.
Im Fall Warburg wird Bundesfinanzminister Olaf Scholz vorgeworfen, er habe zu Steuerrückforderungen an die Hamburger Warburg Bank wegen illegalen Cum-Ex-Geschäften Einfluss auf die Finanzverwaltung der Hansestadt genommen.
Im Bundestag stellt sich heute Finanzminister Scholz den Fragen der Abgeordneten. Er wird im Zusammenhang mit sogenannten Cum-Ex-Geschäften der Hamburger Warburg Bank befragt.
Das Landgericht Frankfurt hat über die Klage der Privatbank M.M. Warburg verhandelt. Die Deutsche Bank soll als Gesamtschuldnerin haften. Das Gericht hat jedoch Zweifel.
Die Staatsanwaltschaft Köln legt mit der nächsten Anklage nach. Diesmal müssen sich aktuelle und frühere Mitarbeiter der Gruppe vor Gericht verantworten. Der Schaden für den Fiskus geht in die dreistellige Millionenhöhe.
Kreative treibt der Shutdown in den Ruin. Es gibt Geld vom Staat, aber nicht für alle. Viele versuchen es auf eigene Faust. Dafür brauchen sie nur Publikum.
In der Aufarbeitung rund um den Cum-Ex-Skandal könnte es schon bald eine weitere Anklage geben - gegen Mitarbeiter der M.M.-Warburg-Gruppe.
Geschichte und Öffentlichkeit in Theorie und Praxis: Sigrid Weigel hat bewiesen, dass sich literaturwissenschaftliche Forschung auch außerhalb der Universität organisieren lässt.
Der erste Cum-Ex-Strafprozess hat schwerwiegende Folgen für manche Akteure: Die Bank M.M. Warburg will nun wohl vor den Bundesgerichtshof ziehen.
Die als Cum-Ex-Deals bekannte Mehrfacherstattung von Steuern ist nach Ansicht des Landgerichts Bonn eine Straftat. Doch das Strafmaß fällt milde aus – trotz eines Millionenschadens für den Fiskus.
Die bisherigen Koalitionspartner SPD und Grüne kämpfen um die Macht im Rathaus und die FDP muss nach dem Eklat in Thüringen um den Wiedereinzug in die Bürgerschaft bangen. Wir halten Sie auf dem Laufenden. Unser Programm im Überblick.
Kurz vor der Wahl in Hamburg gerät Peter Tschentscher unter Druck. Zu seiner Zeit als Finanzsenator soll er Einfluss auf die Ermittlungen der „Cum-Ex“-Geschäfte der Privatbank M.M. Warburg genommen haben. Der SPD-Politiker wehrt sich gegen die Vorwürfe.
Waren die Banken für die Cum-Ex-Geschäfte mitverantwortlich? Mit dieser Frage beschäftigt sich aktuell das Bonner Landgericht im ersten Strafrechtsprozess gegen zwei frühere Börsenhändler.
Im Zweifel ragen kleinere Werte an der Börse heraus. So wie 2019. Das zeigt auch die Liste der besten Aktien aus Rhein-Main. Allerdings stehen am Ende der Tabelle ebenfalls sogenannte Nebenwerte.
Warum hat Walter Benjamin den Namen von Erwin Panofsky falsch geschrieben? Roland Reuß, der Philologe des i-Tüpfelchens, treibt seine Methode auf die Spitze.
Christian Olearius und Max Warburg ziehen sich aus dem Aufsichtsrat der Bank M.M. Warburg zurück. Das Institut vermeidet so eine weitere Untersuchung der Bafin wegen möglicher Cum-Ex-Geschäfte.
Rüdiger Lucassen ist der neue Vorsitzende der nordrhein-westfälischen AfD. Ob damit die heftigen inhaltlichen und personellen Konflikte im größten Landesverband der Partei überwunden sind, ist jedoch fraglich.
Der aktuelle Cum-Ex-Prozess am Landgericht Bonn wirft Fragen auf: Wer hätte wann Steuern einziehen sollen? Und wer hätte das wissen müssen? M.M.Warburg und die Deutsche Bank liegen in ihrer Einschätzung sehr weit auseinander.
Prozessauftakt im Finanzskandal: Mehreren Geldhäusern droht der Einzug von Vermögen.
In Bonn hat der erste Strafprozess wegen Cum-Ex-Geschäften begonnen. Angeklagt sind zwei ehemalige Aktienhändler. Aber auch für fünf Finanzinstitute steht viel auf dem Spiel.
Nach heftigen Machtkämpfen im NRW-Landesverband der AfD ist ein Großteil des Landesvorstands zurückgetreten. Weil sich aber drei rechtsnationalistische Vorstände weigern, ihre Posten aufzugeben, droht ihnen der Bundesvorstand mit Amtsenthebung.
Die NRW-AfD hat nur noch eine Rumpfführung. Von zwölf Vorstandsmitgliedern treten bei einem Parteitag im Minutentakt neun zurück. Übrig bleiben im Vorstand nur noch drei Hardliner, die Björn Höcke nahe stehen.
Die Privatbank Warburg zieht Deutschlands größtes Geldhaus abermals in den Cum-Ex-Skandal – weil die Deutsche Bank Depotbank für die fragwürdigen Geschäfte war. Welche Schuld trägt sie?
Die Hamburger Privatbank Warburg zerrt die Deutsche Bank im Streit um umstrittene Cum-Ex-Geschäfte vor Gericht und fordert Schadenersatz. Es geht offenbar um Millionen. Und auch von einer anderen Seite droht neues Ungemach.
Anders als erwartet, haben viele Indizes in diesem Jahr deutlich zugelegt. In einer Umfrage dieser Zeitung geben sich Finanzinstitute wieder zuversichtlich für 2018. Doch es gibt auch Zweifel.
Was wir von Friedrich Schiller lernen können, wenn wir den Gang ins Museum antreten: Vom Sinn des Spielens mit Bildern. Dankesrede zur Verleihung des Schillerpreises in Marbach.
Die Privatbank Warburg steigt mit dem „Warburg Navigator“ in die digitale Vermögensverwaltung ein. Das Produkt entstand in Zusammenarbeit mit einem Fintech. Davon profitieren beide Seiten.
Anleger fiebern diese Woche dem Zinsausblick der amerikanischen Notenbank entgegen. Die Sorge, dass die Aktienmärkte bereits zu hoch bewertet sind, dürfte die Kurse ebenfalls drücken.
Aby Warburg war ein Mann der Bilder. Doch auch die Schriften des Kunsthistorikers sind eine Fundgrube für Sprüche und Wortschöpfungen.
Wer sein Geld nur auf das Sparbuch legt, kommt nicht vom Fleck. Wer hingegen einen Teil des Geldes in Aktien angelegt hat, kann sich auch dieses Jahr freuen. Die beste Aktie aus Rhein-Main ist ein ganz kleiner Wert.
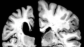
Ein Durchbruch im Kampf gegen die Alzheimer-Krankheit - oder wieder eine Hoffnung, die enttäuscht wird? Immer öfter heißt es: Schon das zugrundeliegende Modell ist fragwürdig. Ein Streitgespräch aus aktuellem Anlass.
Zehn Tage blickt Hessen nach Hofgeismar im Norden des Landes. In der Stadt des diesjährigen Landesfestes tut man sich mit seiner Außendarstellung und Vermarktung jedoch schwer.
Der Kunsthistoriker David Freedberg hat vor kurzem die Leitung des lange umkämpften Londoner Warburg Institutes übernommen. Im Gespräch erklärt er, wie eine moderne globale Kulturgeschichte auf Warburgs Ideen aufbauen kann.
Die italienische Bank Unicredit bot ihre Fondstochter Pioneer bereits zum Verkauf an, fand jedoch keinen Käufer. Nun laufen Gespräche über eine mögliche Fusion mit Santander Asset Management.