Weitere Gefechte in Sudan trotz Waffenruhe
Die Situation für die Zivilbevölkerung in Sudan wird immer prekärer. Während die deutsche Evakuierungsmission vorerst endet, beginnt die britische Regierung erst damit, ihre Staatsbürger auszufliegen.
Die Situation für die Zivilbevölkerung in Sudan wird immer prekärer. Während die deutsche Evakuierungsmission vorerst endet, beginnt die britische Regierung erst damit, ihre Staatsbürger auszufliegen.
Trotz der schweren Kämpfe in der sudanesischen Hauptstadt Khartum konnte die Bundeswehr am Sonntag 300 Deutsche und Angehörige anderer Staaten nach Jordanien ausfliegen. Die ersten hundert Geretteten landeten am Morgen in Berlin.
Die WHO hat versucht, die Zahl der geretteten Leben für Europa während der Corona-Pandemie zu beziffern. Bei einer Virusvariante war die Auswirkung demnach besonders groß.
Eine Frau in China ist an der Vogelgrippe verstorben, nachdem sie Kontakt mit erkranktem Geflügel hatte. Laut Weltgesundheitsorganisation handelt es sich um die dritte menschliche Infektion mit dieser Virusart.
Jedes Jahr wird am 7. April der Weltgesundheitstag gefeiert. Es ist der „Geburtstag“ der WHO.
Die UN-Gesundheitsbehörde wollte gemeinsam mit China den Ursprung des Coronavirus erforschen. Über drei Jahre nach Pandemiebeginn fehlen noch immer chinesische Daten. Der WHO zufolge läuft die Zeit davon.
Nicht für jeden ist eine Auffrischimpfung derzeit sinnvoll. Doch die Covid-19-Impfung hat noch nicht ausgedient. Wie es weitergeht, wird von Medizinern und Forschern intensiv diskutiert.
Das Fraunhofer-Institut in Gießen verwahrt eine Sammlung von Pilzen und Bakterien, die einst dem Sanofi-Konzern gehörte. Forscher fahnden darin nach unentdeckten Naturstoffen, mit denen sich Krankheiten bekämpfen lassen.
In Äquatorialguinea ist das Tierreservoir des Marburg-Virus identifiziert. Aber dass die WHO-Strategie ausreicht, ist nicht ausgemacht. Die Situation erinnert an den Beginn der Ebola-Epidemie 2014.
Fragt man die Deutschen, halten sich zwei Drittel für gesund. Dabei ist mehr als die Hälfte von ihnen übergewichtig. Und auch sonst setzen sie ihr Wohlbefinden viel zu oft aufs Spiel. Der Auftakt unserer Serie „Gesund & Fit“.
Vom Markt in Wuhan sind neue DNA-Spuren von Marderhunden aufgetaucht. Ob die Tiere die Pandemie tatsächlich ausgelöst haben, bleibt unklar. Die WHO fordert mehr Daten von Peking.
Dürren, heftige Regenfälle und Wirbelstürme begünstigen die Ausbreitung der Cholera in Afrika. Die Wiederkehr des Zyklons Freddy verschlimmert die Lage vor allem in Mosambik und Malawi.
An Schlangenbissen sterben tausende Menschen, Jahr für Jahr. Lange wurde das hingenommen. Jetzt besteht Aussicht auf bessere Therapien.
Rund 240.000 Menschen in Deutschland sterben pro Jahr an Krebs. Die gute Nachricht: Bei manchen Tumorarten sinken die Todesfälle.
Äußerungen etwa des FBI-Chefs zu einem möglichen Laborleck in Wuhan verursachen viel Aufregung, doch Beweise bleiben die US-Behörden schuldig. Die Aufklärung ist für WHO-Chef Tedros auch eine Frage der Moral.
Sowohl das FBI als auch das US-Energieministerium halten eine Laborpanne im chinesischen Wuhan als Auslöser der Pandemie für möglich. Die WHO fordert nun mehr Informationen.
Ist das Ende der Pandemie besiegelt? Mehr als ein Jahr hat die Omikron-Virusvariante und deren Abkömmlinge die Welt in Atem gehalten. Inzwischen schätzt Europas Seuchenbehörde das Gefahrenpotential deutlich niedriger ein.
Brüssel will Schadstoffe wie Feinstaub neu regeln, doch den Medizinverbänden geht der Gesundheitsschutz nicht weit genug. Neuer Ärger auch für die Ampel?
Das Erdbeben der Stärke 7,8 hatte im Februar die türkisch-syrische Grenzregion erschüttert. Die WHO stuft das Beben als "schlimmste Naturkatastrophe" in Europa seit einem Jahrhundert ein. AFP hat nun Zahlen aus verschiedenen Quellen errechnet.
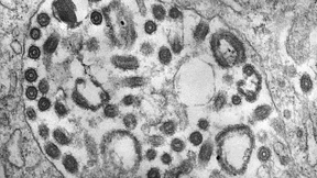
Das Virus H5N1 macht Experten schon länger Sorgen. Zuletzt wurden immer mehr Ausbrüche des Erregers verzeichnet. Eine Pandemie scheint nur eine Frage der Zeit.
Mediziner stellen in Deutschland immer öfter die Diagnose „Motorische Entwicklungsstörung“. Das liegt wohl vor allem daran, dass Kinder sich zu wenig bewegen.
In Äquatorialguinea sind seit Anfang Januar vermutlich neun Menschen am Marburgvirus verstorben. Immer wieder kommt es in Westafrika zu Ausbrüchen des gefährlichen Erregers.
Erstmals melden die Behörden in Äquatorialguinea Tote durch das Marburgfieber. Teams der WHO sind unterwegs, um Kontakte nachzuverfolgen und zu isolieren.
Millionen Menschen in der Türkei und Syrien brauchen nach den schweren Erdbeben Anfang der Woche dringend Hilfe. Hier finden Sie einige Organisationen, die Sie mit Geldspenden unterstützen können.
Das afrikanische Land meldet schon neun Todesopfer durch das 1967 in Hessen entdeckte Virus. Tausende stehen unter Quarantäne. Gegen den hochgefährlichen Erreger gibt es keinen Impfstoff.
Offiziell bestätigt wurden schon mehr als 30.000 Todesopfer, doch die Zahl wird weiter steigen. Seuchen drohen sich auszubreiten. Wegen mutmaßlicher Fahrlässigkeit und Plünderungen gab es in der Türkei Festnahmen.
Insgesamt zieht der Bundesgesundheitsminister drei Jahre nach Beginn der Pandemie eine positive Bilanz. Besonders Bayern wirft er jedoch „Exzesse“ vor. Der Freistaat widerspricht.
Die Zahl der Todesopfer in der Türkei und Syrien steigt weiter. Am Mittwochabend waren es bereits mehr als 11.700. Die EU-Kommission hat beiden Ländern weitere Unterstützung zugesagt.
Die Maßnahme soll in den vom Erdbeben betroffenen türkischen Provinzen für drei Monate gelten. Annalena Baerbock fordert, die Grenzübergänge zu öffnen, um auch in Syrien schnell helfen zu können. Die Zahl der Toten liegt bei rund 5000.
Jährlich werden Millionen Mädchen an den Genitalien verstümmelt: ohne Narkose, Wundversorgung und gegen ihren Willen. Der Internationale Tag gegen weibliche Genitalverstümmelung soll darauf aufmerksam machen.
Weil die Grenzwerte für Stickoxid überall eingehalten wurden, fordert die Wirtschaft ein Ende der Einschränkungen für Autofahrer. Doch Experten raten davon ab, denn die EU plant, die Vorgaben zu verschärfen.
Seit dem 10. Januar herrschen in Afghanistan Temperaturen von bis zu minus 33 Grad. Wegen heftiger Schneefälle und Stürme sind einige Regionen für Helfer schwer erreichbar.
In mehreren Ländern Asiens und Afrikas sind in den vergangenen Monaten mehr als 300 Kinder nach der Einnahme verseuchter Hustensäfte gestorben. Unklar ist, wie die giftigen Substanzen in die Lieferkette kamen.
Vor dem Bundestag macht eine Gruppe auf die Leiden jener aufmerksam, die nach einer Corona-Infektion oder -Impfung nicht wieder gesund werden. Bisher bekommen Betroffene selten Hilfe.
Wegen Corona wird das chinesische Neujahrsfest in vielen Familien von Tod und Krankheit überschattet. Doch die Regierung bläst zum Aufbruch.
Derzeit wandelt sich die Pandemie zur Endemie, die Corona-Todesfälle nehmen ab, aber nun sorgt sie auf andere Weise für Sterbefälle. Wie verlässlich sind die Daten – und wo sind die Schwierigkeiten bei dessen Beurteilung?