WHO befürchtet 236.000 neue Corona-Todesfälle in Europa
1062 COVID-Patienten sind in Deutschland aktuell in intensivmedizinischer Behandlung. Die Weltgesundheitsorganisation zeigt sich besorgt über den Verlauf der Impfkampagne in vielen Ländern.
1062 COVID-Patienten sind in Deutschland aktuell in intensivmedizinischer Behandlung. Die Weltgesundheitsorganisation zeigt sich besorgt über den Verlauf der Impfkampagne in vielen Ländern.
Nach Angaben der WHO sterben jährlich rund 2,2 Millionen Menschen an Infektionskrankheiten durch unsauberes Wasser und mangelhafte Sanitäranlagen. Hinzu kommen viele Millionen Menschen, die durch schmutziges Wasser erkranken. Ein Projekt in Uganda schafft Besserung.
Die amerikanischen Nachrichtendienste haben Präsident Joe Biden ihren Bericht zum Ursprung des Coronavirus übergeben. Noch ist er als Verschlusssache eingestuft, doch die dringendste Frage scheint weiterhin offen zu bleiben.
Keine Lebensmittel, keine Medizin, kein Geld: Eine Woche nach der Machtübernahme der Taliban warnen internationale Hilfsorganisationen vor einer rapiden Verschlechterung der Versorgungslage.
In der „komplizierten Phase“ des Übergangs warnen Forscher vor einer Spaltung der Gesellschaft – und raten vor allem, sich impfen zu lassen. Welche Faktoren entscheiden jetzt über den Verlauf der Pandemie?
Erst kürzlich hatte Guinea einen Ebola-Ausbruch für beendet erklärt. Nun wird ein Fall im Nachbarland Elfenbeinküste registriert. Sorge macht, dass er die Millionenmetropole Abidjan betrifft.
Der britische Journalist Steve Vines hat Hongkong aus Angst verlassen. Er sagt von sich: „Ich bin ein professioneller Pessimist.“ Aber er habe nie gedacht, dass sich Hongkong derart schnell in ein autoritäres System verwandelt.
Dieser Hypothese sollte nicht weiter nachgegangen werden: Welche Rolle spielten Labore in Wuhan bei der Ausbreitung der Pandemie? Laut dem Leiter der früheren WHO-Mission wollte China diese Frage aus einem Bericht heraushalten.
Neue Hotspots wie Israel und die USA zeigen: Impfen wird immer wichtiger – aber die Immunität muss auch anhalten. In Israel scheint sich eine dritte Spritze für Risikopatienten auszuzahlen.
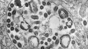
Das hochgefährliche Marburg-Virus stammt aus derselben Erregerfamilie wie das Ebola-Virus. Die Sterblichkeit liegt bei bis zu 88 Prozent. Laut WHO ist die Gefahr einer Epidemie in Guinea und der Region „hoch“, weltweit jedoch „gering“.
Erstmals erhalten fünf Länder Impfstofflieferungen von Deutschland. Die Dosen gehen an Afghanistan, Äthiopien, den Sudan, Tadschikistan und Usbekistan.
Während die WHO ein Moratorium für Booster-Impfungen fördert, wird hierzulande darüber gesprochen, als gehörte diese schon bald zur Routine. Doch das ist unsinnig.
Der Chef der Weltgesundheitsorganisation hat die reichen Länder dazu aufgerufen, mit Auffrischungsimpfungen mindestens bis Ende September zu warten. Den Impfstoff sollten stattdessen arme Länder bekommen.
Die amerikanische Johns Hopkins-Universität meldet erstmals mehr als 200 Millionen Infektionen mit dem Coronavirus. Die meisten Fälle verzeichnen die USA.
Die Regierung in Peking zeigt sich empört über die Vorschläge der Weltgesundheitsorganisation zum weiteren Vorgehen bei der Suche nach dem Ursprung der Pandemie. Dem könne man „unter keinen Umständen“ zustimmen.
Für Chinas Machthaber ist der Ursprung des Coronavirus geklärt. Von einer neuen Untersuchung wollen sie nichts wissen. Sieht so Transparenz aus?
WHO-Generaldirektor Tedros befürwortet weitere Studien zu den Tiermärkten in und um Wuhan. Er sagt: „Ich habe selbst in Labors gearbeitet. Laborunfälle passieren.“ China reagiert verständnislos.
China sperrt sich seit Monaten gegen unabhängige Untersuchungen am Ursprungsort der Pandemie. Nun will die WHO eine ständige Arbeitsgruppe ins Leben rufen, die sich mit dem Ursprung neuer Infektionskrankheiten befasst.
50 Prozent mehr Fälle meldet das RKI für Hessen. Die zentrale Kennziffer legt auch zu, wenn auch auf niedrigem Niveau. Bischof Gerber fordert zum Impfen auf. Auch mit Blick auf die kühle Jahreszeit.
Das Corona-Jahr 2020 wirkte sich laut WHO und Unicef auch auf Routineimpfungen von Kindern aus. Demnach wurden wesentlich weniger Dosen verabreicht als im Jahr zuvor. Doch schon zuvor sei die globale Impfrate stagniert.
Es fehlt an fast allem: medizinischem Sauerstoff, Schutzkleidung, Masken und Impfstoffen. In Namibia verschärft sich die Corona-Lage dramatisch – auch Deutschland hilft.
Schlag nach bei Bourdieu: Die Entzifferung der Covid-19-Pandemie ist auch ein Lehrstück über die Dynamik der Forschung.
Fünfhundert italienische Familien haben sich zusammengetan und fordern hundert Millionen Euro Schadenersatz von der Regierung. Ihr Vorwurf: Politische Fehlentscheidungen hätten zum vermeidbaren Tod der Angehörigen an Covid-19 geführt.
Die Zahl der global bekannten Corona-Todesfälle ist auf vier Millionen angestiegen. In Deutschland war 2020 bei 36.291 Todesbescheinigungen Covid-19 als Erkrankung vermerkt – bei 83 Prozent davon war es auch die Todesursache.
Eine über Monate blasse Sars-CoV-2-Variante macht plötzlich öffentlich Karriere: Wie „Lambda“ trotz anderslautender Fakten doch noch zu einer kleinen Berühmtheit im Covid-Horrorkabinett werden konnte.
Fachleute der WHO raten bei den Corona-Impfungen zu einem Strategiewechsel. Studien zeigen, dass die Wirkung der Corona-Impfung kaum abnimmt, wenn deutlich weniger Impfstoff je Dosis gespritzt wird.
Wenn wir weitere Einschränkungen im Herbst vermeiden wollen, müssen auch die Impfmuffel überzeugt werden. Die Politik sollte frühzeitig Zeichen setzen.
Die Weltgesundheitsorganisation hat Malaria in China offiziell für besiegt erklärt. In den vergangenen vier Jahren gab es keine einzige registrierte Neuinfektion mehr in dem Land.
In Singapur werden die Impfstoffe von BioNTech und Moderna kostenlos verimpft. Trotzdem wollen viele lieber das chinesische Vakzin von Sinovac. „Ich kann nicht etwas nehmen, das ich nicht verstehe“, sagt einer.
Die britische Regierung erlaubt bis zu 60.000 Fans für das Halbfinale und das Endspiel der Europameisterschaft. Mit der Zusage dürfte eine Verlegung der Partien vom Tisch sein.
Kinder und Jugendliche haben unter der Corona-Pandemie besonders stark gelitten. Die Nationalakademie Leopoldina gibt nun Empfehlungen, wie ihre Situation grundlegend verbessert werden könnte.
Zwischen 2013 und 2016 starben in Westafrika rund 11.000 Menschen am Ebola-Virus. Die Weltgesundheitsorganisation erklärte nun das Ende des jüngsten Ausbruchs in Guinea. Auch einer Impfkampagne ist dies zu verdanken.
Wie man gefährlichen Viren auch beikommen kann, zeigt ein Experiment mit bakterienverseuchten Moskitos. In dessen Verlauf konnte das Denguefieber radikal eingedämmt werden.
Hierzulande blieb der Anteil der zuerst in Indien entdeckten Virusvariante unter den Neuinfektionen relativ lange stabil. Nun hat sich die Delta-Variante im Vergleich zur Vorwoche aber doch deutlich ausgebreitet.
Nicht zum ersten Mal, diesmal aber besonders hitzig wird um die Herkunft des Pandemievirus gestritten. Was steckt dahinter? Neue Fakten sind es nicht. Klar ist: Der Konflikt befördert den Fanatismus – und schadet der Aufklärung.
Obwohl die Impfkampagne in Europa voranschreitet, warnt die WHO vor übereilten Optimismus: Die Impfrate sei bei weitem nicht ausreichend, um die Region vor einem Wiederausbruch zu schützen. EU-Kommissionspräsidentin Ursula von der Leyen zeigt sich zuversichtlicher.